모야모야병 유전 증상 원인 치료 수술 총정리
뇌혈관이 서서히 막히며 위험한 합병증을 유발하는 희귀질환, 모야모야병. 생소한 이름이지만 아시아인을 중심으로 비교적 흔하게 발생하며, 조기 진단과 치료가 매우 중요합니다. 유전적인 요인부터 증상, 수술까지 꼭 알아야 할 정보를 정리했습니다.
모야모야병이란?



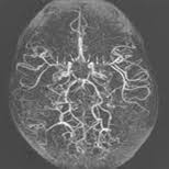
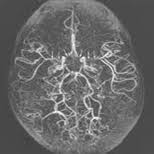
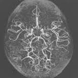
모야모야병은 뇌로 가는 주요 혈관이 점점 좁아지거나 막히는 질환입니다. 혈류가 감소하자 뇌는 이를 보상하기 위해 주변에 가느다란 새로운 혈관을 만들게 되는데, 이 혈관들이 뇌 영상에서 마치 연기처럼 보이기 때문에 일본어로 ‘모야모야’(희미한 연기)라는 이름이 붙었습니다.
소아와 성인 모두에게 발생할 수 있으며, 두통, 마비, 발작, 뇌출혈 등의 증상을 유발할 수 있습니다.
모야모야병 주요 증상
연령대에 따라 증상은 다르게 나타납니다.
◾ 소아 : 일과성 허혈 발작(TIA), 일시적 마비, 발음 이상, 경련
◾ 성인 : 뇌출혈, 심한 두통, 구토, 시야 이상, 기억력 저하
◾ 공통 : 운동 중이나 과호흡 후 증상 악화
증상은 일시적으로 나타났다가 사라질 수 있으나, 방치할 경우 뇌졸중이나 뇌출혈로 진행될 수 있습니다.
유전성 및 원인
현재까지 모야모야병의 정확한 원인은 밝혀지지 않았지만, 다음과 같은 요인들이 관련이 있는 것으로 추정됩니다.
◾ 유전적 요인 : 가족 중 모야모야병 환자가 있는 경우 발병 가능성이 높습니다.
◾ 특정 유전자 변이 : RNF213 유전자 이상과 관련 있음
◾ 자가면역 이상 및 염증 반응
한국, 일본 등 동아시아 지역에서 유병률이 높다는 점도 유전적 요인에 힘을 실어줍니다.
모야모야병 치료 방법
1. 약물 치료
- 뇌졸중 예방을 위한 항혈소판제(아스피린 등) 처방
- 발작 조절을 위한 항경련제 사용
- 혈압 조절로 뇌혈류 유지
단, 약물치료는 일시적인 증상 완화 목적일 뿐, 진행 억제는 어렵습니다.
2. 수술적 치료
혈류를 개선하여 합병증을 예방하는 것이 목적이며, 다음과 같은 수술이 시행됩니다.
◾ 직접 문합술 (Direct Bypass) : 외부의 혈관(두피 동맥)을 뇌혈관과 직접 연결하며 성인에게 주로 시행합니다.
◾ 간접 문합술 (Indirect Bypass) : 근육, 피하지방 등을 뇌에 붙여 혈관 신생 유도하며 소아에게 주로 시행합니다.
▶ 뇌로 가는 혈류를 회복시키고, 장기적인 합병증을 줄이는 데 매우 효과적입니다.
모야모야병 관리 방법
◾ 정기적인 MRI, MRA 등 뇌 영상 검사 필수
◾ 고혈압, 당뇨병 등 뇌혈관 위험인자 관리
◾ 스트레스 최소화, 격렬한 운동 자제
◾ 흡연 및 음주 금지
소아의 경우 성장과 함께 혈류 요구량이 증가하기 때문에, 증상이 가볍더라도 정기적인 추적관찰이 꼭 필요합니다.










수술이 필요할까?
수술 여부는 증상과 영상 검사 결과에 따라 판단됩니다.
☑️ 일과성 허혈 발작이 반복되거나
☑️ 혈류가 심각하게 줄어든 경우
☑️ 뇌출혈 병력이 있는 경우
→ 수술을 통해 장기적으로 뇌기능을 보존할 수 있습니다.
예약 및 상담은 전문 병원에서
모야모야병은 희귀하지만 조기 치료로 예후를 개선할 수 있습니다. 뇌졸중 가족력이 있거나 위 증상이 반복된다면 반드시 전문 병원을 찾아야 합니다. 예약, 빠른 상담, 수술 전문병원 리스트 확인은 아래에서 바로 확인 가능합니다.
참고
- 질병관리청 건강정보센터
- 대한신경외과학회 임상지침
- 분당서울대학교병원 뇌혈관센터
'건강 정보' 카테고리의 다른 글
| 무릎 관절에 좋은 약, 영양제, 음식까지 한 번에 정리 (0) | 2025.06.06 |
|---|---|
| 니파바이러스(Nipah Virus) 치사율 90%의 차기 팬데믹 후보 증상 예방 백신 (0) | 2025.05.17 |
| 수막구균 백신 접종: 예방 가능 질환, 후유증 및 접종 시기 정리 (0) | 2025.03.08 |
| 혈전 위급상황 대처법! 생명을 살리는 긴급 대응 가이드 (증상 예방 치료법) (0) | 2025.03.03 |
| 내 주변 저렴한 백일해 예방 접종 병원 조회하기 (0) | 2024.05.30 |

댓글